
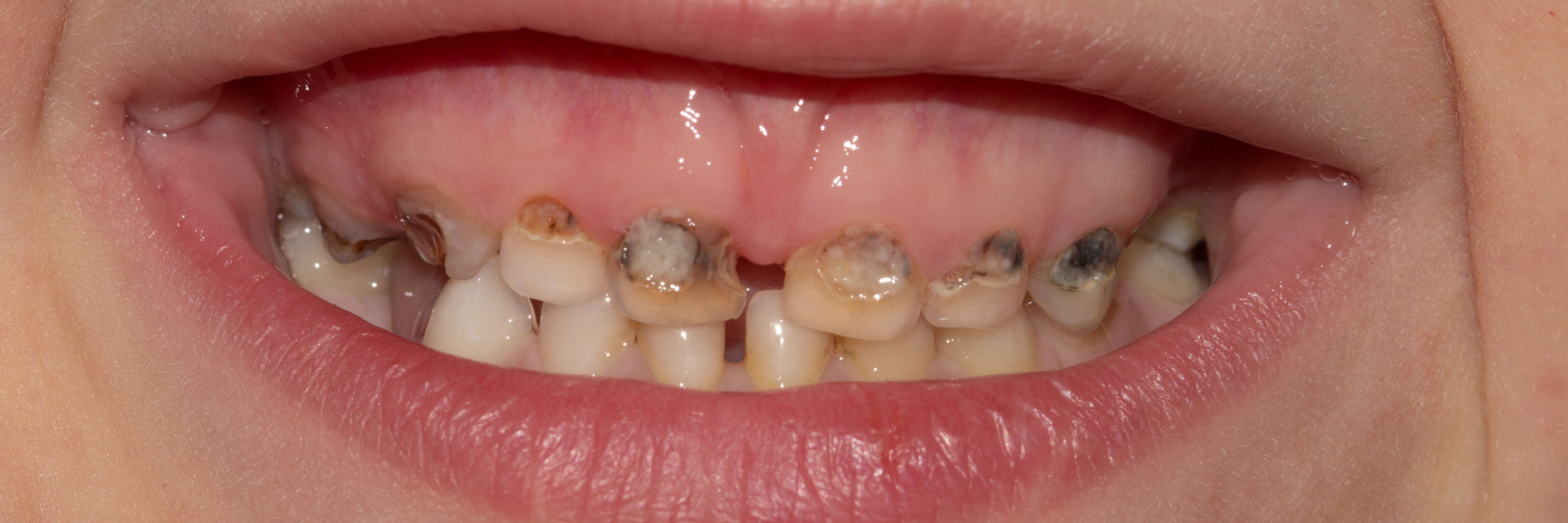
Huller (caries)
Huller i tænderne (caries) er desværre noget mange børn og unge oplever. Heldigvis kan huller både bremses og behandles, men det bedste er helt at undgå dem. Hvis der først er opstået et hul, vil tanden have en permanent skade og være ekstra udsat resten af livet.
Hvorfor får man huller?
Et hul i en tand opstår når bakterier i munden omdanner sukker til syre, der nedbryder tandens overflade. Hvor hurtigt processen går, afhænger af flere faktorer.
Huller i tænderne betragtes som en livsstilssygdom, der især er relateret til mundhygiejnen og de daglige kost- og drikkevaner. Jo sundere vaner, jo sundere tænder. Din indsats vil gøre forskellen - vi er klar til at hjælpe og støtte gennem både barndom og ungdom.
Hvilke behandlingsmuligheder findes der?
Behandlingen afhænger især af hullets størrelse. I Tandplejen tilbyder vi de mest veldokumenterede behandlingsformer. Vi behandler altid så forebyggende og skånsomt som muligt.
Røntgen er et vigtigt redskab til at fastslå et huls størrelse.
Sådan behandler vi huller i de blivende tænder
- Begyndende og mindre huller behandles med forebyggende metoder. Vi underviser i sunde vaner og supplerer ofte med fluoridbehandling. Begyndende huller kalder på løbende kontrol og forebyggelse.
- Større huller, der har fundet vej til tandbenet, behandles typisk med en fyldning. Vi anbefaler altid bedøvelse når der skal bores i en tand. Under behandlingen vil bakterierne blive fjernet og hullet fyldes til sidst ud med plast. Det er normalt, at opleve ømhed og øget følsomhed de efterfølgende uger.
- Store/dybe huller, der går tæt på tandnerven, kræver ekstra forsigtighed. Hvis vi vurderer, at tandnerven er truet, vil vi ofte anbefale, at behandle tanden i to seancer. Først med en midlertidig fyldning og 6-12 måneder senere med en permanent fyldning. I mange tilfælde trækker tandnerven sig i den mellemliggende periode. Det mindsker risikoen for komplikationer som rodbetændelse og smerter.
- Komplicerede huller, der har inficeret tandnerven, kræver som regel rodbehandling. Ved en rodbehandling renses bakterierne i tanden og siden hen den syge tandnerve væk. Den åbne kanal fyldes med et materiale, der forebygger betændelse fremadrettet. Tanden forsynes til sidst med en fyldning. Vi bedøver tanden før enhver rodbehandling. Prognosen vil afhænge af tandens diagnose inden behandlingsstart.
I nogle få tilfælde, er et hul i en tand blevet så stort, at den eneste behandlingsmulighed er tandfjernelse. Du vil ikke blive tilbudt erstatning af den manglende tand.
Sådan behandler vi huller i mælketænderne
Mælketænderne er særlige i mere end en forstand. De har begrænset levetid, men er også mere udsatte for fx huller. Det skyldes, at mælketænder har tyndere emalje end blivende tænder. Ofte er nerveenderne også tættere på overfladen.
Når vi planlægger behandling af en mælketand, tager vi altid dit barns alder og tryghed i betragtning. Det er vigtigt for os, at vi sammen finder en løsning, der både passer til tanden og tandens ejermand. Nogle gange, er den bedste behandling, ingen behandling - især efter 9-års alderen, hvor de nye mindre kindtænder er godt på vej.
- Begyndende og mindre huller i mælketænder behandles efter samme forebyggende principper som med blivende tænder.
- Større huller, der har fundet vej til tandbenet, kan enten behandles med skråslibning, sølvdiaminfluorid eller en fyldning. Du vil få nærmere info om behandlingsmuliglighederne - herunder fordele og ulemper.
- Store/dybe huller, der går tæt på tandnerven, indebærer stor risiko for komplikationer. Vi vil vurdere om tanden er bevaringsværdig. Ved dårlig eller håbløs prognose, anbefaler vi at mælketanden fjernes og den nye tands frembrud afventes.
- Komplicerede huller, der har inficeret tandnerven, tilbydes ingen behandling. Vi vil anbefale fjernelse af tanden for at forebygge eller bekæmpe smerter og betændelse. I visse tilfælde ses en tandbyld ud for mælketanden. Den vil forsvinde ifm. tandfjernelse. Vi forsøger altid at undgå antibiotikabehandling.
